최근 소아청소년에게 마이코플라즈마 폐렴이 유행하고 있는데요. 중앙방역대책본부의 관련 통계를 봐도 마이코플라즈마 폐렴 감염자 중 78%가 12세 이하의 영유아와 소아라고 합니다. 따라서 어린 자녀를 둔 부모들은 걱정이 앞서실 텐데요.


오늘 포스팅은 마이코플라즈마 폐렴 증상과 치료에 대해 알아볼까 합니다.
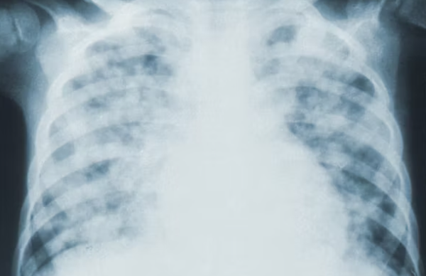
마이코플라즈마 폐렴이란?


마이코플라즈마는 마이코플라즈마속에 속하는 세균을 두루 부르는 명칭입니다. 분류상 세균과 바이러스의 중간 성질을 가지고 있으나 세균으로 분류하고 있습니다. 마이코플라즈마 폐렴은 대개 증상이 경하고 입원이 필요하지 않습니다. 또한 마이크로라이드계 항생제 치료에 효과가 있으나 2000년 이후 내성 폐렴균의 출현이 발견되었다고 보고된 바 있습니다.
세계적으로는 3년에서 7년마다 대유행이 발생하며 국내에서는 1987년 유행 이후 매 3~4년을 주기로 유행이 발생하고 있습니다. 어린이집 등 어린 나이에 집단생활이 많아짐에 따라 3세 이하의 연령이 차지하는 비율이 점차로 증가하고 있는 추세입니다.
마이코플라즈마 폐렴 감염증의 특성



· 지역사회에서 호흡기 감염을 일으키는 주요 원인이 되며 기관지염이나 폐렴을 일으킵니다.
· 유행 주기는 3~4년이며 늦가을에서 초봄까지 발생 빈도가 높습니다.
· 3세 ~ 15세 소아, 학령기 및 젊은 성인에서 주로 발생하나 3세 이하의 발생빈도가 최근 높아지고 있습니다.
· 마이코플라즈마 폐렴 증상은 대부분 경미하고 2주 안에 호전되어 입원까지 하는 경우는 드물게 보고됩니다.
· 주로 보육시설, 학교, 기숙사, 군부대 등 집단시설에서 발병이 유행하거나 같이 거주하는 가족 사이에서 전파됩니다.
· 한번 감염되고 나서도 재감염될 수 있습니다.
· 호흡분비물에 의한 사람 간 비말에 의해 전파되는 특성이 있으며 1~4주(평균 12~14일)의 잠복기를 나타냅니다.
마이코플라즈마 폐렴 증상



· 마이코플라즈마 폐렴 증상 초기에는 권태감, 두통, 발열, 인후통, 콧물, 쉰 목소리, 기침 등 전형적인 감기 증상이 나타납니다.
· 기침은 발병 후 3~5일에 나타나고 발병 2주 동안 악화되어 가래가 섞인 기침을 하게 됩니다.
· 콧물은 어린이, 청소년에게는 잘 나타나지 않으나 영유아에게는 흔히 동반됩니다.
· 인후염, 중이염, 편도선염 등의 상기도 감염뿐만 아니라 감염된 환자의 3~13% 정도가 폐렴으로 진행합니다.



· 3~15세가 많이 걸리며 주증상은 심하고 오래가는 기침과 발열이며 이후 폐렴으로 진행합니다.



· 호흡기외 증상으로는 피부발진, 오심, 구토, 설사, 복통, 근육통, 관절통 등이 나타날 수 있습니다.
마이코플라즈마 폐렴 치료
마이코플라즈마 폐렴균에 대한 백신은 없으며 아래와 같은 항생제를 주 치료 방법으로 합니다.



| 마크로라이드 계열 | 클라리스로마이신, 아지스로마이신, 록시스로마이신 등 |
| 테트라사이클린 계열 | 독시사이클린 등 |
| 호흡기 퀴놀론 계열 | 레보플록사신, 목시플록사신, 제미플록사신 등 |
마이코플라즈마 폐렴 예방법
마이코플라즈마 폐렴은 환자가 기침을 할 때 비말(호흡기 분미물)로 전파되기 때문에 기침예절을 준수하고 올바른 손씻기를 생활화하는 것이 필요합니다.



· 기침예절을 실천합니다.
- 증상 있을 시 마스크 착용
- 기침할 때 옷과 손으로 입과 코 가리기
- 기침 후에는 비누로 손 씻기
· 올바른 손씻기를 생활화합니다.
- 흐르는 물에 비누를 사용하여 30초 이상 손을 씻습니다.
- 외출 전후, 식사 전후, 코를 풀거나 기침 후, 용변 후에 손을 씻습니다.
· 씻지 않은 손으로 눈, 코, 입을 만지지 않습니다.



· 실내에서는 하루에 최소 3회, 매회 10분 이상 환기를 실시합니다.
· 기침과 발열 등 증상이 발생하면 의료기관에 내원하여 적절한 진료를 받습니다.
[ 질병관리청 참고자료와 영상]
지금까지 마이코플라즈마 폐렴에 대해 알아보았습니다. 손씻기와 기침예절을 생활화하시어 폐렴에 걸리는 일이 없기를 바랍니다.
[함께 보면 좋은 글]
노로바이러스 전염, 증상과 예방법
식중독, 장염 등은 음식물이 상하기 쉬운 여름철에 자주 걸리고는 하는데요. 이와는 다르게 노로바이러스 전염은 겨울철 추운 날씨에도 유행하는 감염병입니다. 이는 노로바이러스가 일상 환경
heyheal.happydogather.com
편도결석 제거법과 원인
편도결석은 편도 내에 상피 조직 등의 파편이 축적되어 보이는 노란 알갱이를 말하는데요. 구역질을 하거나 기침을 심하게 할 때 노란 알갱이가 튀어나오기도 합니다. 또한 편도결석은 심한 입
heyheal.happydogather.com
성인 ADHD 증상과 자가진단법
예전에는 ADHD라고 하면 산만하고 소리 지르는 아이를 떠올리고는 했는데요. 요즘은 어른들에게도 이런 ADHD 증상이 이어진다는 사실이 대중에게도 잘 알려져 있는 것 같습니다. 일부 유명인들로
heyheal.happydogather.com
수면장애 증상, 불면증 치료방법
우리는 우리 인생의 1/3을 잠으로 보냅니다. 누워서 휴식을 취하는 것이 시간낭비라고 잠을 줄여보고자 하는 분들도 계실 텐데요. 하지만 곧 한계에 부딪히고 맙니다. 잠을 잘 자야 정신활동과
heyheal.happydogather.com